Tewksbury Smile Gallery
We’ve Transformed Countless Smiles & Lives
As the saying goes, a picture’s worth a thousand words – and we certainly feel that way about our patients’ smile results after treatment at Shawsheen Family Dental. Take a look at the gallery below to see Dr. Bustillo-Gonzalez’s work up-close, and don’t hesitate to let us know if you’re looking for similar improvements. We’d be happy to welcome you in soon for a visit.

More to Explore
About UsMeet the Dentist Tour Our Office Advanced Dental Technology View Our Services
STRENGTHENING THE FOUNDATION OF A HEALTHY SMILE WITH BONE GRAFTING
After experiencing bone loss, this patient needed to rebuild a strong foundation to support long-term oral health. Through a precise bone grafting procedure, new bone material was placed to restore structure and encourage natural regeneration. Over time, this treatment helped reinforce the jawbone, creating the stability needed for a healthier, more secure smile.
RESTORING A CONFIDENT SMILE WITH A CUSTOM CROWN
After experiencing damage to a front tooth, this patient was ready to restore both strength and aesthetics. To rebuild tooth #8, a custom dental crown was carefully designed to blend seamlessly with the surrounding teeth. The result is a natural-looking restoration that enhances the smile while providing long-lasting durability and protection.
A BRIGHTER, MORE RADIANT SMILE WITH ZOOM! WHITENING
Over time, staining and discoloration had dulled this patient’s smile. With professional Zoom! Whitening treatment, we were able to dramatically lift years of surface stains in a single visit. The outcome is a noticeably whiter, more vibrant smile that looks refreshed, healthy, and beautifully luminous
CUSTOM VENEERS FOR A BALANCED, BEAUTIFUL SMILE
Seeking a more uniform and radiant appearance, this patient chose veneers for the upper anterior teeth. Each veneer was custom-crafted to enhance shape, color, and symmetry while maintaining a natural look. The transformation created a brighter, more harmonious smile that feels both elegant and authentic.
STRAIGHTENING SMILES DISCREETLY WITH INVISIBLE BRACES
This patient wanted to correct crowding and alignment without traditional brackets and wires. Using clear, nearly invisible aligners, we gradually guided the teeth into proper position with comfort and discretion. The result is a straighter, healthier smile achieved with minimal disruption to daily life.
ALIGNMENT AND COMFORT IMPROVED WITH INVISIBLE BRACES AND FRENECTOMY
Concerns about spacing and tension from a prominent frenum led this patient to pursue a combined approach. Clear aligners were used to gently reposition the teeth, while a precise frenectomy relieved excess tissue restriction. Together, these treatments created improved alignment, balance, and long-term stability for a confident, comfortable smile.
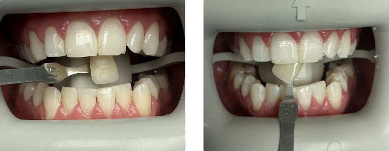
NATURAL-LOOKING RESTORATION WITH A CUSTOM CROWN
Damage to tooth #9 impacted both function and appearance. To restore strength and symmetry, a custom crown was designed to match the surrounding teeth in shape and shade. The final result blends beautifully with the smile while reinforcing the tooth for lasting durability.